Estridor congénito
Diciembre 2021
Recién nacido con Estridor congénito
Shilpa Kalane Neoreviews Diciembre 2021
Department of Pediatric Cardiology, Deenanath Mangeshkar Hospital, Pune, India
El caso
Recién nacida, sexo femenino de 4 días de edad fué referida para evaluación y manejo de estridor observado desde el nacimiento..
Histporia Prenatal y Nacimiento
Madre 28 años, G1P0, mujer india
Screening Prenatal : todo negativo , incluyendo virus inmunodeficiencia humana y antígeno de superficie Hepatitis B
Evolución prenatal nada destacable
Cesárea electiva a las 39 semanas gestación por desproporción céfalopélvica
Apgar scores: 7, 8, and 9 at 1, 3, and 5 minutes, respectively
Presentación
El neonato presentó estridor
inspiratorio con distrés respiratorio después del nacimiento. Se colocó Presión
positiva continua en vía aérea (6 cm H2O con fracción de oxígeno inspirado
[FIO2] 0,21) en Sala de partos y el recién nacido fue trasladado a la UCIN para
recibir tratamiento adicional. Se observó que el recién nacido tenía taquipnea,
retracción supraesternal y subesternal y estridor que se agravaba cuando estaba
vigoroso, no cambiaba con la posición y no se asociaba con un llanto ronco
(audio de estridor).
Progresión
Signos vitales :
Frecuencia cardíaca : 140 a 150 latidos/min
Frecuencia respiratoria : 60 a 70 respiraciones/min
Presión arterial : 65/40 (media 44) mm Hg
Saturación O2 : 90 a 95 % (en aire ambiental)
Temperatura: 36.7 °C
Examen físico (día 1)
Peso al nacer: 3300 g (percentil 15 a 50), Talla : 50 cm (percentil 50 a 85)
Cabeza: Normocefálica; fontanelas normales, abiertas y planas; facies simétrica; coanas permeables ; paladar intacto; sin masa o crepitación en cuello, facies no dismórfica.
Cavidad oral: mucosas rosadas, paladar intacto, sin adenopatías, reflejo de succión y enraizamientorooting normal
Pulmones: Sonidos respiratorios claros e iguales; distrés respiratorio leve con presión positiva continua en vías aéreas; estridor inspiratorio
Cardiovascular: Normal S1, S2; frecuencia y ritmo regulares; sin soplos ni galopes, pulsos periféricos y centrales palpables
Abdomen: ruidos intestinales suaves que se escuchan bien sin hepatoesplenomegalia
Genitourinario: genitales femeninos de término normal; ano permeable
Esquelético: la columna parece normal
Piel: sin ictericia ni marcas de nacimiento u otras erupciones
Neurológico: Irritable pero consolable con la alimentación, Reflejo de Moro simétrico , fuerza y tono normales
Estudios de laboratorio
Screening de sepsis : negativo
Calcio sérico : 10 mg/dL
Estudios radiográficos
La radiografía de tórax y la ecografía cerebral fueron normales. El equipo pasó una sonda de alimentación a través de cada narina sin dificultad.
Después del primer día de vida, el estridor del bebé se volvió bifásico.
La broncoscopia se realizó a las 72 horas de edad.
Después de la broncoscopia, el bebé desarrolló distrés respiratorio grave que requirió intubación y ventilación mecánica. Fue remitida a nuestro hospital para una evaluación y tratamiento adicionales.
Se realizó videolaringoscopia (Video) con fibra óptica, ecocardiografía y angiografía por tomografía computarizada (TC) de tórax (Figs. 1 y 2).
El neonato se mantuvo estable con parámetros de ventilación bajos (ventilación mandatoria intermitente sincronizada con modo de Volumen garantizado con parámetros de presión positiva al final de la espiración (PEEP) de 5 cm de H20, frecuencia de 40 respiraciones / min, FIO2 0,21, volumen corriente o Tidal de 13 ml) y toleraba la alimentación por sonda. tomas de 140 ml / kg por día.
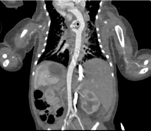
Figura 1.- Tomografía computarizada con contraste, sección coronal

Figure 2.- Arteriografía de reconstrucción por Tomografía computarizada.

Video.- Estridor inspiratorio observado durante el primer día después del nacimiento.

Figura 3.- Videolaringoscopia con fibra óptica que muestra compresión posterior en el extremo distal de la tráquea (flecha verde).
Diagnóstico diferencial
Para esta niña a término que presenta estridor desde el nacimiento, el diagnóstico diferencial incluye :
Atresia / estenosis coanal bilateral
Anomalía congénita de la laringe / vía aérea traqueobronquial
Anillo vascular
Diagnóstico actual
Anillo vascular completo por doble arco aórtico. La videolaringoscopia de fibra óptica mostró compresión posterior en el extremo inferior de la tráquea (Figura 3) y a nivel de la carina traqueal distal (izquierda > derecha) (Figura 4).
La ecocardiografía mostró la posibilidad de un anillo vascular.
La TC con contraste mostró el doble arco aórtico rodeando la tráquea (Figura 5).
La arteriografía de reconstrucción por TC mostró que el arco aórtico derecho e izquierdo formaban un anillo vascular (Figura 6).
La recién nacida fue sometida a cirugía cardíaca el día 7.
Se realizó una toracotomía derecha y se seccionó el lado derecho del arco y se colocaron suturas en ambos extremos.
La bebé fue extubada el día 8 y fue dada de alta del hospital el día 14.
Actualmente, tiene 6 meses de edad y tiene un crecimiento y desarrollo apropiados para su edad.
Figura 4.- Videolaringoscopia con fibra óptica que muestra compresión posterior (izquierda mayor que derecha) a nivel de la carina traqueal distal (flecha verde).

Figure 5.- Imagen de corte coronal de tomografía computarizada con contraste que muestra el arco aórtico doble (líneas azules) rodeando la tráquea (círculo negro, línea amarilla).

Figure 6.- Arteriografía de reconstrucción por tomografía computarizada. Arteriografía de reconstrucción por tomografía computarizada que muestra el arco aórtico derecho (círculo rojo) y el arco aórtico izquierdo (círculo verde) formando un anillo vascular.
Que dice el experto
El estridor, un sonido de tono alto,
es un signo común de distrés respiratorio en un recién nacido. Indica patología
subyacente en la laringe o la vía aérea traqueobronquial. 1 La
calidad y el inicio del estridor pueden ayudar en la localización anatómica de
la patología. El estridor al nacer en un recién nacido sano es probablemente el
resultado de una anomalía congénita subyacente de la laringe y / o el árbol
traqueobronquial.
En general, los trastornos patológicos extratorácicos se presentan con estridor inspiratorio, mientras que los trastornos patológicos intratorácicos suelen presentarse con estridor espiratorio. Las lesiones de la glotis y subglotis pueden presentarse con estridor bifásico (inspiratorio y espiratorio). 2 Las causas y la evaluación del estridor en un recién nacido se resumen en la Figura 7. La historia del estridor, incluida la gravedad, la progresión, las dificultades para comer, la cianosis o los episodios apneicos, y la alteración del sueño (denominada SPECS) es útil para decidir la necesidad de cirugía. endoscopia o intervención quirúrgica. 3

Figura 7.- Diagnóstico diferencial de estridor congénito.
Tradicionalmente, la evaluación adicional del estridor está indicada si el
estridor es progresivo o está asociado con retracción esternal, dificultades
para alimentarse, retraso del crecimiento y / o episodios agudos que ponen en
peligro la vida. (4) Las imágenes están indicadas cuando se sospecha una
patología intratorácica. No hay consenso sobre si la ecocardiografía debe
preceder a la evaluación endoscópica.
Sin embargo, la ecocardiografía realizada por un cardiólogo pediátrico
capacitado es una simple prueba no invasiva junto a la cama para descartar
anillo vascular o cardiopatía congénita asociada y debe considerarse antes de
realizar una endoscopia. La obstrucción traqueal causa predominantemente
estridor espiratorio. Es causado por traqueomalacia primaria o secundaria (p.
Ej., Anillo vascular) o estenosis traqueal. Un anillo vascular puede ser
completo (verdadero) o incompleto. El doble arco aórtico (DAA) es el anillo
vascular más común, contribuyendo al 40% de los casos.
En la mayoría de los casos, el anillo
vascular es un hallazgo aislado y el arco derecho es más grande que el
izquierdo. 5 El doble arco aórtico o DAA generalmente se presenta al
nacer o dentro de los 3 meses de edad. La compresión traqueal puede ser visible
en la radiografía de tórax anteroposterior o lateral, como lo demuestra el aire
traqueal asimétrico. La esofagografía con bario también puede ser útil. Los
estudios de ecocardiografía y Doppler color- flujo en la escotadura
supraesternal son muy útiles, tanto para diagnosticar el anillo vascular como
para excluir defectos intracardíacos asociados. 6 La tomografía
computarizada, la resonancia magnética y la angiografía por sustracción digital
proporcionan una visualización tridimensional de la anatomía vascular, la que
puede diagnosticar con precisión un anillo vascular y delinear la anatomía para
planificar la cirugía.
El distrés respiratorio severo, los antecedentes de infecciones pulmonares recurrentes y los episodios apneicos son indicaciones para la intervención quirúrgica en los neonatos con anillo vascular. Los neonatos sometidos a cirugía por obstrucción de las vías aéreas pueden presentar síntomas leves persistentes (p. Ej., Respiración ruidosa) hasta por 1 año debido a la traqueomalacia asociada preexistente. En nuestro paciente, la obstrucción parcial o total de las vías respiratorias por el broncoscopio y / o la depresión del impulso (drive) respiratorio de la recién nacida debido a la sedación pueden haber causado el deterioro clínico del lactante durante la broncoscopia inicial.
Resumen
En un recién nacido neurológicamente
normal que presenta estridor al nacer sin antecedentes de intubación traumática
o dismorfismos, se debe considerar la posibilidad de anillo vascular.
Especificaciones de contenido neonatal-perinatal de la
Junta Estadounidense de Pediatría
Conocer la morfogénesis normal y anormal y el desarrollo del corazón y las grandes arterias y los factores reguladores locales involucrados.
Conocer las manifestaciones cardíacas del desarrollo neonatal de las enfermedades maternas y la exposición materna a fármacos y al medio ambiente.
Conocer los mediadores genéticos y del desarrollo del corazón y vascular.
Conocer las manifestaciones cardíacas del desarrollo neonatal de los síndromes perinatales comunes (p. Ej., Rubéola congénita).
Referencias
Bhatt J, Prager JD. Neonatal stridor: diagnosis and management. Clin Perinatol. 2018;45(4):817–831
Bluher AE, Darrow DH. Stridor in the Newborn. Pediatr Clin North Am. 2019;66(2):475–488
Holinger LD. Diagnostic endoscopy of the pediatric airway. Laryngoscope. 1989;99(3):346–348
Thompson DM. Laryngomalacia: factors that influence disease severity and outcomes of management. Curr Opin Otolaryngol Head Neck Surg. 2010;18(6):564–570
Kellenberger CJ. Aortic arch malformations. Pediatr Radiol. 2010; 40(6):876–884
Park MK, Salamat M. Vascular ring. In: Park’s Pediatric Cardiology for Practitioners. 7th ed. Philadelphia, PA: Elsevier; 2021:237–242